Welcome to Dans Denture Clinic
Where everyone is treated with class and dignity

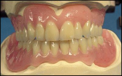
Your denture should never hurt you; it should look good and fit and function well. For this reason, we create natural-looking denture appliances customized to make you feel better, help you eat well, and smile with confidence.Every smile is one of a kind, with a unique tooth shape and jaw alignment.
Our complete dentures in Northeast Edmonton are personalized to give you a natural-looking smile. We use quality materials and proven technical processes to create dentures that stimulate natural jaw movements and ensure optimum function in speaking, eating, and laughing.
It does take a bit of time to become accustomed to your new set of teeth. Here at Dan's we provide you 3 months of free adjustments until you are happy with your new set. those who need adjustments can come into the clinic any time.
Add to this we will help you and submit for you insurance pre-authorizations and claims so you don't need to pull your hair out claiming them yourself.